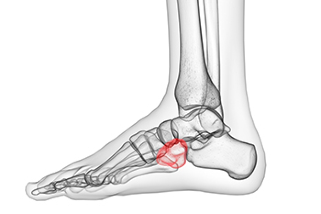
There are several bones each foot is composed of. The shape of the cuboid bone is square and it is one of seven tarsal bones in the foot. It is found on the outside of each foot, and it links the metatarsals to the heel bone. When the ligaments that surrounds this bone are injured, it may lead to cuboid syndrome. This is a condition that can cause pain and discomfort, and it is often difficult to walk. It can be common among patients who participate in running and jumping sporting activities. Additionally, ballet dancers may be prone to this ailment, and this can be a result of the continual pressure the cuboid bone endures. Relief may be found when the affected foot is taped, and this can help to provide the stability that is needed to help accelerate the healing process. If you have pain on the outside of your foot, it is suggested that you consult with a podiatrist who can determine what the cause of pain is, and recommend the right treatment options for you.
Cuboid syndrome, also known as cuboid subluxation, occurs when the joints and ligaments near the cuboid bone in the foot become torn. If you have cuboid syndrome, consult with Dr. David Ungar from Personal Foot Care. Our doctor will assess your condition and provide you with quality foot and ankle treatment.
Cuboid syndrome is a common cause of lateral foot pain, which is pain on the outside of the foot. The condition may happen suddenly due to an ankle sprain, or it may develop slowly overtime from repetitive tension through the bone and surrounding structures.
Causes
The most common causes of cuboid syndrome include:
- Injury – The most common cause of this ailment is an ankle sprain.
- Repetitive Strain – Tension placed through the peroneus longus muscle from repetitive activities such as jumping and running may cause excessive traction on the bone causing it to sublux.
- Altered Foot Biomechanics – Most people suffering from cuboid subluxation have flat feet.
Symptoms
A common symptom of cuboid syndrome is pain along the outside of the foot which can be felt in the ankle and toes. This pain may create walking difficulties and may cause those with the condition to walk with a limp.
Diagnosis
Diagnosis of cuboid syndrome is often difficult, and it is often misdiagnosed. X-rays, MRIs and CT scans often fail to properly show the cuboid subluxation. Although there isn’t a specific test used to diagnose cuboid syndrome, your podiatrist will usually check if pain is felt while pressing firmly on the cuboid bone of your foot.
Treatment
Just as the range of causes varies widely, so do treatments. Some more common treatments are ice therapy, rest, exercise, taping, and orthotics.
If you have any questions, please feel free to contact our office located in Farmington, MI . We offer the newest diagnostic and treatment technologies for all your foot care needs.



