Connect With Us

Plantar fasciitis is the most common source of heel pain. It occurs when the plantar fascia, the band of tissue running along the bottom of the foot that connects the heel to the toes, becomes inflamed. Plantar fasciitis is usually a result of repetitive overstretching of the plantar fascia. Common contributing factors include having high arches or flat feet, standing on hard surfaces for a long period of time, age (between 40 and 60), being overweight, wearing high heels, and a sudden change in activity level. Plantar fasciitis pain is most prevalent in the middle of the heel and it is usually worse after waking up in the morning or after taking a long rest. Patients who are experiencing heel pain should consult with a podiatrist for a proper diagnosis and to determine what route of treatment should be implemented.
Plantar fasciitis can be very painful and inconvenient. If you are experiencing heel pain or symptoms of plantar fasciitis, contact Dr. David Ungar from Personal Foot Care. Our doctor can provide the care you need to keep you pain-free and on your feet.
What Is Plantar Fasciitis?
Plantar fasciitis is the inflammation of the thick band of tissue that runs along the bottom of your foot, known as the plantar fascia, and causes mild to severe heel pain.
What Causes Plantar Fasciitis?
How Can It Be Treated?
While very treatable, plantar fasciitis is definitely not something that should be ignored. Especially in severe cases, speaking to your doctor right away is highly recommended to avoid complications and severe heel pain. Your podiatrist can work with you to provide the appropriate treatment options tailored to your condition.
If you have any questions, please feel free to contact our office located in Farmington, MI . We offer the newest diagnostic and treatment technologies for all your foot care needs.
The plantar fascia is a connective tissue in the heel that stretches across the bottom length of your foot. Plantar fasciitis occurs when the connective tissue becomes inflamed, causing heel pain and discomfort during physical activity. Although the condition is completely treatable, traditional methods can take up to a year to start becoming effective.
Plantar fasciitis is caused by a number of everyday activities, so understanding the condition is important for managing and treating it. One of the most common causes of plantar fasciitis is excessive running, especially with improper fitting or non-supportive shoes. Too much exercise can lead to the plantar fascia being overworked and overstretched, which can cause tears in the tissue. Along with improper fitting shoes, pronation, the rolling of the feet inward, is a common cause of plantar fasciitis. If not treated properly, the plantar fascia becomes overstretched and starts to tear, causing inflammation.
Despite the common causes of plantar fasciitis, there are many different treatment options. For less severe cases, conservative home remedies include taking anti-inflammatory drugs to alleviate pain, applying ice packs to the bottom of your foot and heel, slowly stretching and exercising your feet to re-strengthen the tissue, and using orthotic devices are all ways to help manage your plantar fasciitis.
For more severe cases, shockwave therapy has become a common solution for plantar fasciitis. Shockwave therapy can effectively break up the tissue on the bottom of your foot which facilitates healing and regeneration. This fights the chronic pain caused by plantar fasciitis. Even if this doesn’t work, surgery is always a final option. Surgery on the tissue itself can be done to permanently correct the issue and stop the inflammation and pain in your heels.
No matter what the case may be, consulting your podiatrist is the first and best step to recovery. Even the slightest amount of heel pain could be the first stage of plantar fasciitis. Untreated symptoms can lead to the tearing and overstretching of tissue. Because the tearing of tissue can be compounded if it remains ignored, it can evolve into a severe case. The solution is early detection and early treatment. Talk to your podiatrist about the possibilities of plantar fasciitis if you’re experiencing heel pain.
Falls are a leading cause of injury for not just older adults, but also for children. In fact, falls are the leading cause of injury in children from birth to about 19 years of age. Falls can result in a variety of foot and ankle injuries, from sprains to fractures and beyond. Fortunately, there are steps you can take to prevent your child from falling and incurring a serious injury. If your child plays on a playground, check the surface under the playground to ensure that it is soft and safe, as well as supervise your child while they play. Make your home safer by using stair gates and guard rails to prevent your child from falling down the stairs. If your child participates in sports, make sure that they wear helmets, padding, or any other safety gear that the sport requires. If your child falls and injures their feet or ankles, take them to see a podiatrist who can diagnose and treat their condition.
Preventing falls among the elderly is very important. If you are older and have fallen or fear that you are prone to falling, consult with Dr. David Ungar from Personal Foot Care. Our doctor will assess your condition and provide you with quality advice and care.
Every 11 seconds, an elderly American is being treated in an emergency room for a fall related injury. Falls are the leading cause of head and hip injuries for those 65 and older. Due to decreases in strength, balance, senses, and lack of awareness, elderly persons are very susceptible to falling. Thankfully, there are a number of things older persons can do to prevent falls.
How to Prevent Falls
Some effective methods that older persons can do to prevent falls include:
Falling can be a traumatic and embarrassing experience for elderly persons; this can make them less willing to leave the house, and less willing to talk to someone about their fears of falling. Doing such things, however, will increase the likelihood of tripping or losing one’s balance. Knowing the causes of falling and how to prevent them is the best way to mitigate the risk of serious injury.
If you have any questions, please feel free to contact our office located in Farmington, MI . We offer the newest diagnostic and treatment technologies for all your foot care needs.
Elderly Americans are very susceptible to falls as they get older. Everyone experiences decreases in flexibility, balance, strength, and the senses as they age. This correlates to some eye-opening statistics. 1 in 4 Americans aged 65 and older fall each year. An elderly American is being treated for a fall in an emergency room every 11 seconds. In light of these striking statistics, one can see the importance of taking steps to prevent falls.
Finding an exercise program for the elderly is an excellent way to reduce the likelihood of falls. Look for an exercise program that improves strength and balance. Elderly people who live a more sedentary lifestyle, with little physical activity, are at an increased risk of falling. Wearing well-fitted footwear that provides good foot support and cushion will help prevent falls from poorly fitted shoes. Talking to a podiatrist about your susceptibility to falls and about inspecting your prescriptions will help to avoid any medication that could make falls more likely. Due to a decline in the senses among the elderly, having your eyes and hearing checked is recommended.
Around half of all falls occur in the household. Removing tripping hazards in the home and making it more accommodating to older persons can significantly reduce falls. Some notable household changes include increasing lighting around the house, installing grab bars in the shower and bathroom, and making sure the floor is clear of clutter. Other smart options include installing a shower chair, using rubber-bottomed rugs, and placing railings on both sides of stairwells.
Finally, discuss with a doctor and your family about your fear of falling. This will help to increase awareness among the population on the need for fall prevention. A lack of awareness on the matter, and a downplaying of importance are what increase the risks of falling. Following these tips can help to reduce the risk for yourself and your loved ones.
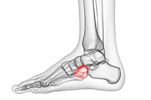
There are several bones each foot is composed of. The shape of the cuboid bone is square and it is one of seven tarsal bones in the foot. It is found on the outside of each foot, and it links the metatarsals to the heel bone. When the ligaments that surrounds this bone are injured, it may lead to cuboid syndrome. This is a condition that can cause pain and discomfort, and it is often difficult to walk. It can be common among patients who participate in running and jumping sporting activities. Additionally, ballet dancers may be prone to this ailment, and this can be a result of the continual pressure the cuboid bone endures. Relief may be found when the affected foot is taped, and this can help to provide the stability that is needed to help accelerate the healing process. If you have pain on the outside of your foot, it is suggested that you consult with a podiatrist who can determine what the cause of pain is, and recommend the right treatment options for you.
Cuboid syndrome, also known as cuboid subluxation, occurs when the joints and ligaments near the cuboid bone in the foot become torn. If you have cuboid syndrome, consult with Dr. David Ungar from Personal Foot Care. Our doctor will assess your condition and provide you with quality foot and ankle treatment.
Cuboid syndrome is a common cause of lateral foot pain, which is pain on the outside of the foot. The condition may happen suddenly due to an ankle sprain, or it may develop slowly overtime from repetitive tension through the bone and surrounding structures.
Causes
The most common causes of cuboid syndrome include:
Symptoms
A common symptom of cuboid syndrome is pain along the outside of the foot which can be felt in the ankle and toes. This pain may create walking difficulties and may cause those with the condition to walk with a limp.
Diagnosis
Diagnosis of cuboid syndrome is often difficult, and it is often misdiagnosed. X-rays, MRIs and CT scans often fail to properly show the cuboid subluxation. Although there isn’t a specific test used to diagnose cuboid syndrome, your podiatrist will usually check if pain is felt while pressing firmly on the cuboid bone of your foot.
Treatment
Just as the range of causes varies widely, so do treatments. Some more common treatments are ice therapy, rest, exercise, taping, and orthotics.
If you have any questions, please feel free to contact our office located in Farmington, MI . We offer the newest diagnostic and treatment technologies for all your foot care needs.
Though cuboid syndrome predominately affects athletes, non-athletes can suffer from it too. Cuboid syndrome is also called cuboid subluxation or cuboid fault syndrome, and occurs when a joint or ligament near the cuboid bone of the foot becomes damaged, or when the bone itself is dislodged from its natural position. Pain may be persistent, or come and go, and it is usually marked by the outside of the foot. Cuboid syndrome, unless severe, can be difficult to diagnose. A doctor will likely ask questions about how long the pain has been present, and will apply pressure on the cuboid bone to determine the origin of pain.
There are a number of causes that can lead to the syndrome. Due to athletic activities, repeated stress placed on the foot can cause cuboid subluxation. Ballet dancers, runners, and other athletes often develop this condition. Basketball or tennis players may also develop this condition, as they place stress on their feet while moving side to side. Cuboid syndrome can often develop over time; however it can come out of a sudden injury as well. Over pronation, or other problems with feet, can exacerbate the condition if not corrected.
Among podiatrists, there is some disagreement about the treatment, as well as the definition of cuboid syndrome. Some see the injury as an injury to the ligaments located nearby the cuboid bone, while others believe it refers to the dislocation of the calcaneal-cuboid joint only. Treatment opinions differ as well. Although it can be treated by manipulation in order to reposition the bone, this must be done with extreme care in order to avoid injury. Some doctors, however, prefer treatment through the use of orthotic pads, designed to keep the bone in its place. Effectiveness of these treatments may vary, according to the severity of the injury.
When you experience side foot pain, it is important that you seek medical assistance. If a subluxed cuboid is caught and treated early, treatment is usually successful, and individuals may begin activities such as sports when the pain subsides. If left untreated, the pain will worsen, and the condition could cause permanent damage.
As summer is in full swing, many of us pull out a pair of flip flops. However, flip flops were not made for everyday use, and they can cause many problems. To start, flip flops do not provide enough support for the feet, and wearing them over a prolonged period of time can lead to the arch ligaments straining. This lack of support can cause the feet and toes to work harder and eventually lead to hammertoes, and the ankle can roll over on its side and lead to an ankle sprain. When wearing flip flops, make sure to choose a pair with a supportive lightweight sole and a cradle around the heel to reduce the chance of an ankle sprain. If you have questions or concerns about wearing your flip flops, consult with a podiatrist.
Flip-flops are not always the best choice of footwear. If you have any concerns about your feet or ankles, contact Dr. David Ungar from Personal Foot Care. Our doctor will assist you with all of your foot and ankle needs.
Flip-Flops and Feet
When the weather starts warming up, people enjoy wearing flip-flops. Flip-flops are comfortable, stylish, and easy to slip on and off; they're perfect for any summer beach goer. However, these shoes can cause harm to the feet.
How Can Flip-Flops Affect Me Long-Term?
Are There Injuries Associated with Flip-Flops?
Yes. Since flip-flops are relatively weak and do not provide the same amount of support as sneakers, people who wear flip-flops regularly are more susceptible to injuries. On top of that, the open nature of the shoe makes your feet more prone to other problems, such as cuts and even infections. Common injuries and ailments include:
I like Wearing Flip-Flops. Are There Safe Alternatives?
When buying flip-flops, try to find ones that have sturdy soles and that are made of high-quality materials that will support for your feet. These flip-flops will cost more but will also last longer as a result.
If you have any questions, please feel free to contact our office located in Farmington, MI . We offer the newest diagnostic and treatment technologies for all your foot care needs.
Flip flops are often a popular choice of footwear for many people. Flip flops allow your feet to breathe and give your toes the freedom of movement. They are easy to slip on and can be worn with virtually any style of clothing. Flip flops, however, despite their many benefits, can be detrimental for your foot health.
Despite their comfortableness, frequently wearing flip flops can create problems in the lower body over time. Issues mainly stem from the fact that people walk differently in flip flops compared to other footwear, such as sneakers. This is due to a change in one’s natural gait, which therefore creates stress in different parts of the body while hindering the body’s natural posture. Problems can also arise in the arches and balls of the feet. Flip flops provide little to no support to these areas.
Aside from long-term problems, flip-fops can also create short-term issues as well, such as ankle sprains and blisters. Weak materials that are flexible and bendable are generally used to manufacture flip flops. These materials make its wearers prone to both tripping and injuring their ankles. Flip flops can create blisters as the material rubs against the foot. People are much more at risk for infection while wearing flip flops due to their openness. This also makes it easier to scrape and cut the foot since there is a lack of protection. If these cuts are left untreated and uncovered, the risk then becomes greater.
To prevent the aforementioned occurrences, purchase a pair of flip flops that offer significant protection. The soles of the flip flops should not be floppy, but sturdy and firm, and should not significantly bend or wiggle when lifted from the floor. Flip flops made of high-quality materials will not be affected by this problem. While higher quality flip flops may be more expensive, they will last longer and provide better protection compared to a cheaper pair. Brand name flip flops sold from a quality manufacturer are a dependable option.
There is no problem in wearing your favorite pair of flip flops so as long as you do not wear them daily or for extended periods of time. Flip flops should be replaced every 3-4 months to ensure that they provide your feet with the best protection.
Orthotics that a podiatrist prescribes are custom-made appliances fit to your foot that slip into your shoes to help provide optimal body alignment and movement based on your individual foot structure and needs. They can be used to help correct structural problems or gait issues—either from birth, illness, or trauma—that may cause pain or reduce mobility. They can also be used in a preventative manner to help prevent the chance of injuries, reduce pressure on joints, and improve stability and stamina when walking or running. Custom, or prescription, orthotics can help a podiatrist treat patients with over-pronation (when the feet and ankles collapse inwardly), Achilles tendonitis, plantar fasciitis, bursitis, diabetic foot ulcers, fallen arches, and more. Make an appointment with a podiatrist to see if custom orthotics may help you.
If you are having discomfort in your feet and would like to try orthotics, contact Dr. David Ungar from Personal Foot Care. Our doctor can provide the care you need to keep you pain-free and on your feet.
What Are Orthotics?
Orthotics are inserts you can place into your shoes to help with a variety of foot problems such as flat feet or foot pain. Orthotics provide relief and comfort for minor foot and heel pain but can’t correct serious biomechanical problems in your feet.
Over-the-Counter Inserts
Orthotics come in a wide variety of over-the-counter inserts that are used to treat foot pain, heel pain, and minor problems. For example, arch supports can be inserted into your shoes to help correct overarched or flat feet, while gel insoles are often used because they provide comfort and relief from foot and heel pain by alleviating pressure.
Prescription Orthotics
If over-the-counter inserts don’t work for you or if you have a more severe foot concern, it is possible to have your podiatrist prescribe custom orthotics. These high-quality inserts are designed to treat problems such as abnormal motion, plantar fasciitis, and severe forms of heel pain. They can even be used to help patients suffering from diabetes by treating foot ulcers and painful calluses and are usually molded to your feet individually, which allows them to provide full support and comfort.
If you are experiencing minor to severe foot or heel pain, it’s recommended to speak with your podiatrist about the possibilities of using orthotics. A podiatrist can determine which type of orthotic is right for you and allow you to take the first steps towards being pain-free.
If you have any questions please contact our office located in Farmington, MI . We offer the newest diagnostic and treatment technologies for all your foot and ankle needs.
Connect With Us